" Vidéothèque "
Vidéos et auto diaporamas du micro et du macro cosmos

Auteur : Aly ABBARA
MAJ : 15 Mai, 2023


Médecine

Cerveau et cœur d'adultes Appareil digestif Ovaire
Echographie du 1° trimestre de la grossesse Périnée et anus fœtaux Vascularisation (utérus - annexes)
Grossesse ectopique Mouvements respiratoires fœtaux Pseudo anévrysme de l'utérus
Echographie du 2° trimestre de la grossesse Hoquet chez le foetus Polypes - myomes (utérus)
Cœur fœtal Cordon ombilical (artères et veine) Dispositif in utero (DIU)
Cerveau fœtal Kyste de la rate fœtale Cloison vaginale
Vascularisation du cerveau fœtal Occlusion intestinale fœtale Endométriose
Profil fœtal Placenta Appendice
Oreille fœtale Col utérin obstétrical Kyste de l'ouraque
Appareil urinaire Utérus Diarrhée
Lymphangiomes fœtaux    

Autres "Animations médicales éducatives" intégrées au site et publiées sur YouTube.com

Culture
générale


Paris Asie Monde animal
Paris (sculptures) Kaléidoscopie Ornithologie (monde des oiseaux)
Europe Dessins Insectes
Arts d'Afrique Mer Plantes
 




Vidéo format (*.mp4) Vidéo format (*gif) Vidéo format YouTube
Crâne humain en résine - Os, Sutures et fontanelles Crâne humain en résine - Os, Sutures et fontanelles Crâne humain en résine - Os, Sutures et fontanelles
  Covid-19 et grossesse  
Cerveau humain - femme de 26 ans - balayage sgittal par IRM Cerveau humain - femme de 26 ans - balayage sgittal par IRM Cerveau humain - femme de 26 ans - balayage sgittal par IRM
Cerveau de femme adulte - Réseau vasculaire artériel - Principales artères cérébrales et leurs parcours Cerveau de femme adulte - Réseau vasculaire artériel - Principales artères cérébrales et leurs parcours Cerveau de femme adulte - Réseau vasculaire artériel - Principales artères cérébrales et leurs parcours
Echocardiographie - cœur d'une femme adulte - Continuité aorto-septale, aorto-mitrale - الإستمرارية التشريحية للإبهر مع الحاجز مابين البطيني ومع الصمام التاجي Echocardiographie - cœur d'une femme adulte - Continuité aorto-septale, aorto-mitrale - الإستمرارية التشريحية للإبهر مع الحاجز مابين البطيني ومع الصمام التاجي Echocardiographie - cœur d'une femme adulte - Continuité aorto-septale, aorto-mitrale - الإستمرارية التشريحية للإبهر مع الحاجز مابين البطيني ومع الصمام التاجي
Coronarographie - lésions coronaires ischémiques tri-tronculaire Coronarographie - lésions coronaires ischémiques tri-tronculaire Coronarographie - lésions coronaires ischémiques tri-tronculaire
Grossesse débutante intra-utérine de 4SA Grossesse débutante intra-utérine de 4SA Grossesse débutante intra-utérine de 4SA
Sac gestationnel à la fin de la 5ème semaine de grossesse (20° jour de gestation) Sac gestationnel à la fin de la 5ème semaine de grossesse (20° jour de gestation) Sac gestationnel à la fin de la 5ème semaine de grossesse (20° jour de gestation)
Premiers battements cardiaques chez l'embryon, à 22 jours de gestation - أول دقات القلب عند مضغة بعمر 22 يوماً Premiers battements cardiaques chez l'embryon, à 22 jours de gestation - أول دقات القلب عند مضغة بعمر 22 يوماً Premiers battements cardiaques chez l'embryon, à 22 jours de gestation - أول دقات القلب عند مضغة بعمر 22 يوماً
Embryon de 6 SA et jours : cmpositions du sac gestationnel Embryon de 6 SA et jours : cmpositions du sac gestationnel Embryon de 6 SA et jours : cmpositions du sac gestationnel
Grossesse gémellaire monochoriale biamniotique de 5SA Grossesse gémellaire monochoriale biamniotique de 5SA Grossesse gémellaire monochoriale biamniotique de 5SA
Grossesse gémellaire monozygote monochoriale biamniotique de 8 SA et 3 jours Grossesse gémellaire monozygote monochoriale biamniotique de 8 SA et 3 jours Grossesse gémellaire monozygote monochoriale biamniotique de 8 SA et 3 jours
Grossesse triple, triamniotique trichoriale de 5 SA Grossesse triple, triamniotique trichoriale de 5 SA Grossesse triple, triamniotique trichoriale de 5 SA
Embryon de 7 SA et 2 jours (LCC = 11.47 mm) - les premiers mouvements embryonnaires - Vidéo Embryon de 7 SA et 2 jours (LCC = 11.47 mm) - Imagerie 3D Embryon de 7 SA et 2 jours (LCC = 11.47 mm) - Les premiers mouvements embryonnaires - Vidéo pour YouTtube
Embryon de 8 SA et 3 jours : composition du sac gestationnel Embryon de 8 SA et 3 jours : composition du sac gestationnel Embryon de 8 SA et 3 jours : composition du sac gestationnel
Embryon de 8 SA et 3 jours Embryon de 8 SA et 3 jours Embryon de 8 SA et 3 jours
Embryon de 8 SA et 5 jours - composantes anatomiques Embryon de 8 SA et 5 jours - composantes anatomiques Embryon de 8 SA et 5 jours - composantes anatomiques
Vrais jumeaux dansant - 10 SA Vrais jumeaux dansant - 10 SA Vrais jumeaux dansant - 10 SA
Embryon de 9 SA et 4 jours - Rotation axe Y Embryon de 9 SA et 4 jours - Rotation axe Y Embryon de 9 SA et 4 jours - Rotation axe Y
Embryon de 9 SA et 4 jours - rotation axe X Embryon de 9 SA et 4 jours - rotation axe X Embryon de 9 SA et 4 jours - rotation axe X
Motricité foetale à 11,5 SA Motricité foetale à 11,5 SA Motricité foetale à 11,5 SA
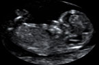
Grossesse de 11 SA - éléments anatomiques du sac gestationnel et du foetus - Iamges cliniques Grossesse de 11 SA - éléments anatomiques du sac gestationnel et du foetus - Iamges cliniques Grossesse de 11 SA - éléments anatomiques du sac gestationnel et du foetus - Iamges cliniques
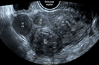
Grossesse de 12 SA - foetus et annexes foetales - images cliniques Grossesse de 12 SA - foetus et annexes foetales - images cliniques Grossesse de 12 SA - foetus et annexes foetales - images cliniques
Foetus de 13 SA - ouverture et fermeture de la bouche Foetus de 13 SA - ouverture et fermeture de la bouche Foetus de 13 SA - ouverture et fermeture de la bouche
Foetus de 13 SA - flexion et déflexion de la tête Foetus de 13 SA - flexion et déflexion de la tête Foetus de 13 SA - flexion et déflexion de la tête
Foetus de 13 SA - mouvements actifs de type rebondissements Foetus de 13 SA - mouvements actifs de type rebondissements Foetus de 13 SA - mouvements actifs de type rebondissements
Les plexus choroïdes et le signe du papillon - 12 - 13 SA Les plexus choroïdes et le signe du papillon - 12 - 13 SA Les plexus choroïdes et le signe du papillon - 12 - 13 SA
Mouvements oculaires - foetus de 32 SA Mouvements oculaires - foetus de 32 SA Mouvements oculaires - foetus de 32 SA
Coupe sagittale médiane du cerveau fœtal (à 35 SA) - éléments anatomiques identifiables en échographie Coupe sagittale médiane du cerveau fœtal (à 35 SA) - éléments anatomiques identifiables en échographie Coupe sagittale médiane du cerveau fœtal (à 35 SA) - éléments anatomiques identifiables en échographie
Échographie : Kystes arachnoïdiens Échographie : Kystes arachnoïdiens Échographie : Kystes arachnoïdiens
Agénésie complète du corps calleux Agénésie complète du corps calleux Agénésie complète du corps calleux
Schizencéphalie unilatérale associée à une agénésie septale - foetus de 28 SA Schizencéphalie unilatérale associée à une agénésie septale - foetus de 28 SA Schizencéphalie unilatérale associée à une agénésie septale - foetus de 28 SA
Spina bifida aperta - 15 SA Spina bifida aperta - 15 SA Spina bifida aperta - 15 SA
Spina bifida type myéloméningocèle à 21 SA Spina bifida type myéloméningocèle à 21 SA Spina bifida type myéloméningocèle à 21 SA
Grossesse extra-utérine de la portion moyenne de la trompe gauche, évolutive et âgée de 9 SA et 1 jour Grossesse extra-utérine de la portion moyenne de la trompe gauche, évolutive et âgée de 9 SA et 1 jour Grossesse extra-utérine de la portion moyenne de la trompe gauche, évolutive et âgée de 9 SA et 1 jour
Grossesse extra-utérine tubaire ancienne et méconnue, sur laquelle évolue un nodule du site placentaire - découverte fortuite lors d'une césarienne Grossesse extra-utérine tubaire ancienne et méconnue, sur laquelle évolue un nodule du site placentaire - découverte fortuite lors d'une césarienne Grossesse extra-utérine tubaire ancienne et méconnue, sur laquelle évolue un nodule du site placentaire - découverte fortuite lors d'une césarienne
Grossesse extra-utérine tubaire distale droite, évolutive, de 9 SA et 2 Jours d'âge - Activité cardiaque et mouvements embryonnaires sont présents - coupe transverse de l'utérus Grossesse extra-utérine tubaire distale droite, évolutive, de 9 SA et 2 Jours d'âge - Activité cardiaque et mouvements embryonnaires sont présents - coupe transverse de l'utérus Grossesse extra-utérine tubaire distale droite, évolutive, de 9 SA et 2 Jours d'âge - Activité cardiaque et mouvements embryonnaires sont présents - coupe transverse de l'utérus
Grossesse extra-utérine tubaire distale droite, évolutive, de 9 SA et 2 Jours d'âge - Activité cardiaque et mouvements embryonnaires sont présents - coupe sagittale médiane sur l'utérus Grossesse extra-utérine tubaire distale droite, évolutive, de 9 SA et 2 Jours d'âge - Activité cardiaque et mouvements embryonnaires sont présents - coupe sagittale médiane sur l'utérus Grossesse extra-utérine tubaire distale droite, évolutive, de 9 SA et 2 Jours d'âge - Activité cardiaque et mouvements embryonnaires sont présents - coupe sagittale médiane sur l'utérus
Grossesse triple évolutive hétérotopique composée d'une grossesse gémellaire intra-utérine et une grossesse mono-embryonnaire extra-utérine tubaire droite Grossesse triple évolutive hétérotopique composée d'une grossesse gémellaire intra-utérine et une grossesse mono-embryonnaire extra-utérine tubaire droite Grossesse triple évolutive hétérotopique composée d'une grossesse gémellaire intra-utérine et une grossesse mono-embryonnaire extra-utérine tubaire droite
Grossesse ectopique évolutive cervico-isthmique intra-murale de 10 SA Grossesse ectopique évolutive cervico-isthmique intra-murale de 10 SA Grossesse ectopique évolutive cervico-isthmique intra-murale de 10 SA
Grossesse môlaire (môle complète) - Aspect échographique - الحمل العدارية أو الرحى العدارية Grossesse môlaire (môle complète) - Aspect échographique - الحمل العدارية أو الرحى العدارية Grossesse môlaire (môle complète) - Aspect échographique - الحمل العدارية أو الرحى العدارية
Grossesse môlaire volumineuse de 739 ml de volume Grossesse môlaire volumineuse de 739 ml de volume Grossesse môlaire volumineuse de 739 ml de volume
Coupe classique des 4 cavités cardiaques - foetus de 36 SA Coupe classique des 4 cavités cardiaques - foetus de 36 SA Coupe classique des 4 cavités cardiaques - foetus de 36 SA
Coeur foetal - Coupe des quatre cavités cardiaques - 33 SA Coeur foetal - Coupe des quatre cavités cardiaques - 33 SA Coeur foetal - Coupe des quatre cavités cardiaques - 33 SA
Sinus coronaire - 26 SA Sinus coronaire - 26 SA Sinus coronaire - 26 SA
Foyer hyperéchogène intra-cardiaque Foyer hyperéchogène intra-cardiaque Foyer hyperéchogène intra-cardiaque
Foyer échogène intracardiaque multiple ou spots intraventriculaires : animation échographique - 25 SA Foyer échogène intracardiaque multiple ou spots intraventriculaires : animation échographique - 25 SA Foyer échogène intracardiaque multiple ou spots intraventriculaires : animation échographique - 25 SA
Coupe de petit axe (coeur droit) - foetus de 36 SA Coupe de petit axe (coeur droit) - foetus de 36 SA Coupe de petit axe (coeur droit) - foetus de 36 SA
Le tronc pulmonaire foetal et ses trois branches, les deux artères pulmoanires droite et gauche puis le canal artériel - grossesse de 32 SA Le tronc pulmonaire foetal et ses trois branches, les deux artères pulmoanires droite et gauche puis le canal artériel - grossesse de 32 SA Le tronc pulmonaire foetal et ses trois branches, les deux artères pulmoanires droite et gauche puis le canal artériel - grossesse de 32 SA
Coeur foetal à 25 SA : l'axe cœur droit - canal artériel - aorte Coeur foetal à 25 SA : l'axe cœur droit - canal artériel - aorte Coeur foetal à 25 SA : l'axe cœur droit - canal artériel - aorte
Coupe coeur droit - tronc pulmonaire - canal artériel - aorte Coupe coeur droit - tronc pulmonaire - canal artériel - aorte Coupe coeur droit - tronc pulmonaire - canal artériel - aorte
Le tronc pulmoaire et ses trois branches - artères pulmonaires droites et gauche puis le canal artériel Le tronc pulmoaire et ses trois branches - artères pulmonaires droites et gauche puis le canal artériel Le tronc pulmoaire et ses trois branches - artères pulmonaires droites et gauche puis le canal artériel
Aorte chez un foetus de 22 SA Aorte chez un foetus de 22 SA Aorte chez un foetus de 22 SA
Crosse de l'aorte caractérisée par l'absence de l'artère subclavière gauche : foetus de 34 SA - قوس ابهرية متميزة بغياب فرعها الرئيسي الثالث أي الشريان ماتحت الترقوي الأيسر Crosse de l'aorte caractérisée par l'absence de l'artère subclavière gauche : foetus de 34 SA - قوس ابهرية متميزة بغياب فرعها الرئيسي الثالث أي الشريان ماتحت الترقوي الأيسر Crosse de l'aorte caractérisée par l'absence de l'artère subclavière gauche : foetus de 34 SA - قوس ابهرية متميزة بغياب فرعها الرئيسي الثالث أي الشريان ماتحت الترقوي الأيسر
Le canal artériel reliant l'artère pulmonaire à la crosse de l'aorte : foetus de 25 SA - القناة الشريانية الواصلة ما بين الشريان الرئوي وقوس الأبهر Le canal artériel reliant l'artère pulmonaire à la crosse de l'aorte : foetus de 25 SA - القناة الشريانية الواصلة ما بين الشريان الرئوي وقوس الأبهر Le canal artériel reliant l'artère pulmonaire à la crosse de l'aorte : foetus de 25 SA - القناة الشريانية الواصلة ما بين الشريان الرئوي وقوس الأبهر
Coupe des 3 vaisseaux et la trachée Coupe des 3 vaisseaux et la trachée Coupe des 3 vaisseaux et la trachée
Coupe échographique au niveau de la pointe Coupe échographique au niveau de la pointe Coupe échographique au niveau de la pointe
Croisement de l'aorte avec l'artère pulmonaire - image échgraphique animée Croisement de l'aorte avec l'artère pulmonaire - image échgraphique animée Croisement de l'aorte avec l'artère pulmonaire - image échgraphique animée
La communication normale et observable entre l'artère pulmonaire et l'aorte par l'intermédiaire du canal artériel - échocardiographie La communication normale et observable entre l'artère pulmonaire et l'aorte par l'intermédiaire du canal artériel - échocardiographie La communication normale et observable entre l'artère pulmonaire et l'aorte par l'intermédiaire du canal artériel - échocardiographie
Coeur foetal - croisement des gros vaisseaux - Doppler volumique Coeur foetal - croisement des gros vaisseaux - Doppler volumique Coeur foetal - croisement des gros vaisseaux - Doppler volumique
Les veines inférieure et supérieure se jetant dans l'oreillette droite Les veines inférieure et supérieure se jetant dans l'oreillette droite Les veines inférieure et supérieure se jetant dans l'oreillette droite
Le retour veineux vers l'oreillette gauche durant la vie in-utero - والعود الوريدي نحو الأُذينة اليسرى أثناء الحياة الجنينية Le retour veineux vers l'oreillette gauche durant la vie in-utero - والعود الوريدي نحو الأُذينة اليسرى أثناء الحياة الجنينية Le retour veineux vers l'oreillette gauche durant la vie in-utero - والعود الوريدي نحو الأُذينة اليسرى أثناء الحياة الجنينية
Les quatre veines pulmonaires : foetus de 22 SA Les quatre veines pulmonaires : foetus de 22 SA Les quatre veines pulmonaires : foetus de 22 SA
Le retour veineux pulmonaire Le retour veineux pulmonaire Le retour veineux pulmonaire
Communication interventriculaire musculaire Communication interventriculaire musculaire Communication interventriculaire musculaire
Communication interventriculaire musculaire (33 SA) Communication interventriculaire musculaire (33 SA) Communication interventriculaire musculaire (33 SA)
Communication interauriculaire type septum primum Communication interauriculaire type septum primum Communication interauriculaire type septum primum
Canal atrio-ventriculaire (CIV) - 17 SA Canal atrio-ventriculaire (CIV) - 17 SA Canal atrio-ventriculaire (CIV) - 17 SA
Canal atrio-ventriculaire - 32 SA Canal atrio-ventriculaire - 32 SA Canal atrio-ventriculaire - 32 SA
Canal atrio-ventriculaire (CIV) - 33 SA Canal atrio-ventriculaire (CIV) - 33 SA Canal atrio-ventriculaire (CIV) - 33 SA
Canal atrio-ventriculaire (CIV) - 33 SA Canal atrio-ventriculaire (CIV) - 33 SA Canal atrio-ventriculaire (CIV) - 33 SA
Hernie diaphragmatique + exencéphalie - 13 SA et 4 jours Hernie diaphragmatique + exencéphalie - 13 SA et 4 jours Hernie diaphragmatique + exencéphalie - 13 SA et 4 jours
Hypolasie du coeur gauche - coupes des 4 cavités Hypolasie du coeur gauche - coupes des 4 cavités Hypolasie du coeur gauche - coupes des 4 cavités
Hypolasie du coeur gauche - coupes des 4 cavités - analyse des flux sanguins par Doppler Hypolasie du coeur gauche - coupes des 4 cavités - analyse des flux sanguins par Doppler Hypolasie du coeur gauche - coupes des 4 cavités - analyse des flux sanguins par Doppler
Hypolasie du coeur gauche - coupes des trois vaisseaux et trachée Hypolasie du coeur gauche - coupes des trois vaisseaux et trachée Hypolasie du coeur gauche - coupes des trois vaisseaux et trachée
Extrasystolie auriculaire bigéminée foetale quasi permanente à 37,5 SA Extrasystolie auriculaire bigéminée foetale quasi permanente à 37,5 SA Extrasystolie auriculaire bigéminée foetale quasi permanente à 37,5 SA
Hypoplasie de l'aorte à 30 SA Hypoplasie de l'aorte à 30 SA Hypoplasie de l'aorte à 30 SA
Tétralogie de Fallot - 27 SA - Sténose du tronc pulmonaire - CIV périmembraneuse - Aorte à cheval sur le septum interventriculaire Tétralogie de Fallot - 27 SA - Sténose du tronc pulmonaire - CIV périmembraneuse - Aorte à cheval sur le septum interventriculaire Tétralogie de Fallot - 27 SA - Sténose du tronc pulmonaire - CIV périmembraneuse - Aorte à cheval sur le septum interventriculaire
Jumeau acardiaque - grossesse gémellaire monochoriale biamniotique Jumeau acardiaque - grossesse gémellaire monochoriale biamniotique Jumeau acardiaque - grossesse gémellaire monochoriale biamniotique
Jumeau acardiaque - grossesse gémellaire monochoriale biamniotique - acranie - amélie supérieure - sirénomélie - oedème généralisé - échelle de gris - rotation axiale Jumeau acardiaque - grossesse gémellaire monochoriale biamniotique - acranie - amélie supérieure - sirénomélie - oedème généralisé - échelle de gris - rotation axiale Jumeau acardiaque - grossesse gémellaire monochoriale biamniotique - acranie - amélie supérieure - sirénomélie - oedème généralisé - échelle de gris - rotation axiale
Jumeau acardiaque - grossesse gémellaire monochoriale biamniotique - acranie - amélie supérieure - sirénomélie - oedème généralisé - couleur sépia - rotation axiale Jumeau acardiaque - grossesse gémellaire monochoriale biamniotique - acranie - amélie supérieure - sirénomélie - oedème généralisé - couleur sépia - rotation axiale Jumeau acardiaque - grossesse gémellaire monochoriale biamniotique - acranie - amélie supérieure - sirénomélie - oedème généralisé - couleur sépia - rotation axiale
Mouvements respiratoires foetaux - coupe sagittale sur le tronc foetal Mouvements respiratoires foetaux - coupe sagittale sur le tronc foetal Mouvements respiratoires foetaux - coupe sagittale sur le tronc foetal
Mouvements respiratoires foetaux - coupe axiale sur le thorax foetal Mouvements respiratoires foetaux - coupe axiale sur le thorax foetal Mouvements respiratoires foetaux - coupe axiale sur le thorax foetal
Transmission des mouvements respiratoires à l'abdomen Transmission des mouvements respiratoires à l'abdomen Transmission des mouvements respiratoires à l'abdomen
La motricité des cordes vocales du larynx foetal au cours des mouvements respiratoires in utero La motricité des cordes vocales du larynx foetal au cours des mouvements respiratoires in utero La motricité des cordes vocales du larynx foetal au cours des mouvements respiratoires in utero
Éjection - aspiration du liquide amniotique à travers les fosses nasales au cours des mouvements respiratoires foetaux Éjection - aspiration du liquide amniotique à travers les fosses nasales au cours des mouvements respiratoires foetaux Éjection - aspiration du liquide amniotique à travers les fosses nasales au cours des mouvements respiratoires foetaux
Succion - 36,5 SA Succion - 36,5 SA Succion - 36,5 SA
Protrusion de la langue - macroglossie Protrusion de la langue - macroglossie Protrusion de la langue - macroglossie
Hypoplasie de l'étage moyen de la face - Phénotype de Blinder Hypoplasie de l'étage moyen de la face - Phénotype de Blinder Hypoplasie de l'étage moyen de la face - Phénotype de Blinder
Hoquet chez le foetus - coupe longitudinale du tronc foetal Hoquet chez le foetus - coupe longitudinale du tronc foetal Hoquet chez le foetus - coupe longitudinale du tronc foetal
Hoquet chez le foetus - coupe longitudinale du tronc foetal Hoquet chez le foetus - coupe longitudinale du tronc foetal Hoquet chez le foetus - coupe longitudinale du tronc foetal
vCoupe sagittale médiane du cerveau fœtale - vaisseaux sanguins et les structures anatomiques à 33 SA - échocardiographie Coupe sagittale médiane du cerveau fœtale - vaisseaux sanguins et les structures anatomiques à 33 SA - échocardiographie Coupe sagittale médiane du cerveau fœtale - vaisseaux sanguins et les structures anatomiques à 33 SA - échocardiographie
Polygone vasculaire de Willis - composition - cerveau foetal à 29 SA - échocardiographie Polygone vasculaire de Willis - composition - cerveau foetal à 29 SA - échocardiographie Polygone vasculaire de Willis - composition - cerveau foetal à 29 SA - échocardiographie
Pavillon de l'oreille externe - 36,5 SA Pavillon de l'oreille externe - 36,5 SA Pavillon de l'oreille externe - 36,5 SA
Lymphangiome micro et macrokystique cervico-facial droit - Grossesse de 22 SA - Images échographiques en 2D et 3D Lymphangiome micro et macrokystique cervico-facial droit - Grossesse de 22 SA - Images échographiques en 2D et 3D Lymphangiome micro et macrokystique cervico-facial droit - Grossesse de 22 SA - Images échographiques en 2D et 3D
Lymphangiome thoraco-axillaire gauche, polymacrokystique - Foetus de 26 SA Lymphangiome thoraco-axillaire gauche, polymacrokystique - Foetus de 26 SA Lymphangiome thoraco-axillaire gauche, polymacrokystique - Foetus de 26 SA
Artères ombilicales au cours de la vie foetale - trajet pelvien coiffant la vessie - 24 SA Artères ombilicales au cours de la vie foetale - trajet pelvien coiffant la vessie - 24 SA Artères ombilicales au cours de la vie foetale - trajet pelvien coiffant la vessie - 24 SA
Artère ombilicale unique à 14 SA Artère ombilicale unique à 14 SA Artère ombilicale unique à 14 SA
Artère ombilicale unique Artère ombilicale unique Artère ombilicale unique
Le flux sanguin (en Doppler couleur) dans la veine ombilicale naissant du bord du placenta Le flux sanguin (en Doppler couleur) dans la veine ombilicale naissant du bord du placenta Le flux sanguin (en Doppler couleur) dans la veine ombilicale naissant du bord du placenta
Le flux sanguin (en Doppler couleur) dans la veine ombilicale naissant du bord du placenta Le flux sanguin (en Doppler couleur) dans la veine ombilicale naissant du bord du placenta Le flux sanguin (en Doppler couleur) dans la veine ombilicale naissant du bord du placenta
Varice de la veine ombilicale intra-abdominale Varice de la veine ombilicale intra-abdominale Varice de la veine ombilicale intra-abdominale
Procubitus du cordon ombilical Procubitus du cordon ombilical Procubitus du cordon ombilical
Procubitus du cordon ombilical à 37 SA, sur un col utérin modifié, ouvert à 2 cm Procubitus du cordon ombilical à 37 SA, sur un col utérin modifié, ouvert à 2 cm Procubitus du cordon ombilical à 37 SA, sur un col utérin modifié, ouvert à 2 cm
Séquence du cordon ombilical court, Body stalk anomaly - BSA - Régression caudale - Lymphangiom - Foetus de 25 SA - Signes échographiques Séquence du cordon ombilical court, Body stalk anomaly - BSA - Régression caudale - Lymphangiom - Foetus de 25 SA - Signes échographiques Séquence du cordon ombilical court, Body stalk anomaly - BSA - Régression caudale - Lymphangiom - Foetus de 25 SA - Signes échographiques
Placenta multikystique - 20 SA - syndrome polymalformatif Placenta multikystique - 20 SA - syndrome polymalformatif Placenta multikystique - 20 SA - syndrome polymalformatif
Hématome rétroplacentaire décidual basal central à 33,5 SA Hématome rétroplacentaire décidual basal central à 33,5 SA Hématome rétroplacentaire décidual basal central à 33,5 SA
Vasa praevia associé à une insertion vélamenteuse du cordon ombilical Vasa praevia associé à une insertion vélamenteuse du cordon ombilical Vasa praevia associé à une insertion vélamenteuse du cordon ombilical
Insertion vélamenteuse du cordon ombilical avec vaisseaux praevia latéraux Insertion vélamenteuse du cordon ombilical avec vaisseaux praevia latéraux Insertion vélamenteuse du cordon ombilical avec vaisseaux praevia latéraux
Représentationsphérique  animée de l'artère utérine droite Représentationsphérique  animée de l'artère utérine droite Représentationsphérique  animée de l'artère utérine droite
Hernie ombilicale physiologique du premier trimestre de la grossesse - Physiologic umbilical hernia - Physiologic Gut Heriation Hernie ombilicale physiologique du premier trimestre de la grossesse - Physiologic umbilical hernia - Physiologic Gut Heriation Hernie ombilicale physiologique du premier trimestre de la grossesse - Physiologic umbilical hernia - Physiologic Gut Heriation
Omphalocèle (exomphalos - Foetus de 23 SA - Cas clinique et description de la pathologie Omphalocèle (exomphalos - Foetus de 23 SA - Cas clinique et description de la pathologie Omphalocèle (exomphalos - Foetus de 23 SA - Cas clinique et description de la pathologie
Hernie ombilicale physiologique du premier trimestre de la grossesse - deux cas à 10 SA et 2 jours Hernie ombilicale physiologique du premier trimestre de la grossesse - deux cas à 10 SA et 2 jours Hernie ombilicale physiologique du premier trimestre de la grossesse - deux cas à 10 SA et 2 jours
Occlusion intestinale caractérisée par la dilatation des anses grêles et une hyperpéristaltisme : foetus de 34 SA Occlusion intestinale caractérisée par la dilatation des anses grêles et une hyperpéristaltisme : foetus de 34 SA Occlusion intestinale caractérisée par la dilatation des anses grêles et une hyperpéristaltisme : foetus de 34 SA
Occlusion intestinale caractérisée par la dilatation des anses grêles et une hyperpéristaltisme : foetus de 34 SA Occlusion intestinale caractérisée par la dilatation des anses grêles et une hyperpéristaltisme : foetus de 34 SA Occlusion intestinale caractérisée par la dilatation des anses grêles et une hyperpéristaltisme : foetus de 34 SA
Hernie diaphragmatique de la coupole diaphragmatique gauche - 13 SA Hernie diaphragmatique de la coupole diaphragmatique gauche - 13 SA Hernie diaphragmatique de la coupole diaphragmatique gauche - 13 SA
Hernie de la coupole diaphragmatique droite - foetus de 27 SA Hernie de la coupole diaphragmatique droite - foetus de 27 SA Hernie de la coupole diaphragmatique droite - foetus de 27 SA
Rate foetale - Kyste splénique à 31 SA Rate foetale - Kyste splénique à 31 SA Rate foetale - Kyste splénique à 31 SA
Sphincter anal et périnée Sphincter anal et périnée Sphincter anal et périnée
La poche des eaux agissant sur la col utérin sous l'effet des contractions utérines - échocardiographie La poche des eaux agissant sur la col utérin sous l'effet des contractions utérines - échocardiographie La poche des eaux agissant sur la col utérin sous l'effet des contractions utérines - échocardiographie
Le vernix suspendu et tourbillonant dans le liquide amniotique Le vernix suspendu et tourbillonant dans le liquide amniotique Le vernix suspendu et tourbillonant dans le liquide amniotique
Cerclage cervico-isthmique - Grossesse de 21 SA Cerclage cervico-isthmique - Grossesse de 21 SA Cerclage cervico-isthmique - Grossesse de 21 SA
Écoulement en jet du liquide amniotique dans le vagin à travers le canal du col utérin : grossesse de 34 SA avec rupture prématurée des membranes amniotiques Écoulement en jet du liquide amniotique dans le vagin à travers le canal du col utérin : grossesse de 34 SA avec rupture prématurée des membranes amniotiques Écoulement en jet du liquide amniotique dans le vagin à travers le canal du col utérin : grossesse de 34 SA avec rupture prématurée des membranes amniotiques
Grossesse - Myome - Necrobiose Grossesse - Myome - Necrobiose Grossesse - Myome - Necrobiose
Mégavessie régressive spontanément entre 13 et 18 SA Mégavessie régressive spontanément entre 13 et 18 SA Mégavessie régressive spontanément entre 13 et 18 SA
Mégavessie dans le cadre d'une valve urétrale postérieure - Foets du sexe masculin âgé de 15 SA Mégavessie dans le cadre d'une valve urétrale postérieure - Foets du sexe masculin âgé de 15 SA Mégavessie dans le cadre d'une valve urétrale postérieure - Foets du sexe masculin âgé de 15 SA
Pyélectasie sévère du rein droit compliquée par la formation d'un urinome puis une ascite urinaire - foetus âgé de 32 SA Pyélectasie sévère du rein droit compliquée par la formation d'un urinome puis une ascite urinaire - foetus âgé de 32 SA Pyélectasie sévère du rein droit compliquée par la formation d'un urinome puis une ascite urinaire - foetus âgé de 32 SA
Urétérocèle simple - foetus de 25 SA du sexe masculin Urétérocèle simple - foetus de 25 SA du sexe masculin Urétérocèle simple - foetus de 25 SA du sexe masculin
Ascite d'origine tumorale ovarienne Ascite d'origine tumorale ovarienne Ascite d'origine tumorale ovarienne
Agénésie du rein droit associée à une malformation utérine de type d'utérus bicorne unicervical - Fichier animé type vidéo MP4 et GIF Agénésie du rein droit associée à une malformation utérine de type d'utérus bicorne unicervical - Fichier animé type vidéo MP4 et GIF Agénésie du rein droit associée à une malformation utérine de type d'utérus bicorne unicervical - Fichier animé type vidéo MP4 et GIF
Miction urinaire chez un foetus de 35,5 SA Miction urinaire chez un foetus de 35,5 SA Miction urinaire chez un foetus de 35,5 SA
La portion terminale de l'artère utérine prenant la forme d'une spirale sur le bord latéral de l'utérus (ici : côté gauche) - Utérus non gravide La portion terminale de l'artère utérine prenant la forme d'une spirale sur le bord latéral de l'utérus (ici : côté gauche) - Utérus non gravide La portion terminale de l'artère utérine prenant la forme d'une spirale sur le bord latéral de l'utérus (ici : côté gauche) - Utérus non gravide
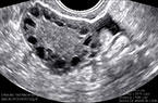
Corps jaune gravidique à 5,5 SA Corps jaune gravide à 5,5 SA Corps jaune gravide à 5,5 SA
Corps jaune gravide à 5 SA Corps jaune gravide à 5 SA Corps jaune gravide à 5 SA
Vascularisation du corps jaune analysée par Doppler-Energie en 3D Vascularisation du corps jaune analysée par Doppler-Energie en 3D Vascularisation du corps jaune analysée par Doppler-Energie en 3D
Vascularisation du corps jaune analysée par Doppler mode Dynamic Flow, en 3D Vascularisation du corps jaune analysée par Doppler mode Dynamic Flow, en 3D Vascularisation du corps jaune analysée par Doppler mode Dynamic Flow, en 3D
Cloison vaginale transversale Cloison vaginale transversale Cloison vaginale transversale
Endométriose intra-musculaire stromale et glandulaire - Post césarienne Endométriose intra-musculaire stromale et glandulaire - Post césarienne Endométriose intra-musculaire stromale et glandulaire - Post césarienne
Pseudo anévrisme intra-utérin - Doppler énergie Pseudo anévrisme intra-utérin - Doppler énergie Pseudo anévrisme intra-utérin - Doppler énergie
Pseudo anévrisme intra-utérin d'origine traumatique Pseudo anévrisme intra-utérin d'origine traumatique Pseudo anévrisme intra-utérin d'origine traumatique
Anévrysme utérin post révision utérine pour rétention trophoblastique Anévrysme utérin post révision utérine pour rétention trophoblastique Anévrysme utérin post révision utérine pour rétention trophoblastique
Myome utérin polypoïde endocervical et accouché par l'orifice externe du col utérin Myome utérin polypoïde endocervical et accouché par l'orifice externe du col utérin Myome utérin polypoïde endocervical et accouché par l'orifice externe du col utérin
Myome utérin polypoïde endocervical et accouché par l'orifice externe du col utérin Myome utérin polypoïde endocervical et accouché par l'orifice externe du col utérin Myome utérin polypoïde endocervical et accouché par l'orifice externe du col utérin
Polype endométrial avec son axe vasculaire qui permet d'identifier son point d'insertion sur l'endomètre Polype endométrial avec son axe vasculaire qui permet d'identifier son point d'insertion sur l'endomètre Polype endométrial avec son axe vasculaire qui permet d'identifier son point d'insertion sur l'endomètre
olype endométrial sécrétoire olype endométrial sécrétoire olype endométrial sécrétoire
Volumineux polype glandulokystique - Métrorragies post-ménopausiques Volumineux polype glandulokystique - Métrorragies post-ménopausiques Volumineux polype glandulokystique - Métrorragies post-ménopausiques
Endomètre dyshormonal asymétrique - Métrorragies rebelles au traitement hormonal et hémostatique Endomètre dyshormonal asymétrique - Métrorragies rebelles au traitement hormonal et hémostatique Endomètre dyshormonal asymétrique - Métrorragies rebelles au traitement hormonal et hémostatique
Rétention trophoblastique - Contractilité utérine Rétention trophoblastique - Contractilité utérine Rétention trophoblastique - Contractilité utérine
Utérus - l'aspect de l'endomètre et la cavité utérine au cours des premiers jours des règles (de la menstruation) Utérus - l'aspect de l'endomètre et la cavité utérine au cours des premiers jours des règles (de la menstruation) Utérus - l'aspect de l'endomètre et la cavité utérine au cours des premiers jours des règles (de la menstruation)
Endomètre de la phase proliférative pré-ovulatoire - Contractilité utérine - Follicule mâture Endomètre de la phase proliférative pré-ovulatoire - Contractilité utérine - Follicule mâture Endomètre de la phase proliférative pré-ovulatoire - Contractilité utérine - Follicule mâture
Atrophie pseudo-hyperplasique de l'endomètre sous traitement par tamoxifène (à 81 ans) Atrophie pseudo-hyperplasique de l'endomètre sous traitement par tamoxifène (à 81 ans) Atrophie pseudo-hyperplasique de l'endomètre sous traitement par tamoxifène (à 81 ans)
Endomètre de la phase proliférative pré-ovulatoire - Contractilité utérine ondulatoire - Follicule mâture Endomètre de la phase proliférative pré-ovulatoire - Contractilité utérine ondulatoire - Follicule mâture Endomètre de la phase proliférative pré-ovulatoire - Contractilité utérine ondulatoire - Follicule mâture
Glaire endocervicale en période pré-ovulatoire - Aspect échographique Glaire endocervicale en période pré-ovulatoire - Aspect échographique Glaire endocervicale en période pré-ovulatoire - Aspect échographique
Vagin : contractilité vaginale ondulatoire en période pré-ovulatoire - lumière vaginale est inondée par la glaire cervicale Vagin : contractilité vaginale ondulatoire en période pré-ovulatoire - lumière vaginale est inondée par la glaire cervicale Vagin : contractilité vaginale ondulatoire en période pré-ovulatoire - lumière vaginale est inondée par la glaire cervicale
Utérus plymyomateux comportant 9 myomes de classes différentes de FIGO 2011 Utérus plymyomateux comportant 9 myomes de classes différentes de FIGO 2011 Utérus plymyomateux comportant 9 myomes de classes différentes de FIGO 2011
Calcifications du myomètre chez une femme âgée de 63 ans Calcifications du myomètre chez une femme âgée de 63 ans Calcifications du myomètre chez une femme âgée de 63 ans
Utérus :  myome intra-mural antérieur calcifié chez une patiente âgée de 57 ans Utérus :  myome intra-mural antérieur calcifié chez une patiente âgée de 57 ans Utérus :  myome intra-mural antérieur calcifié chez une patiente âgée de 57 ans
DIU (stérilet) inversé avec la présenec d'une grossesse intra-utérine évolutive de 6 SA en relation avec l'échec de cette méthode de contraception DIU (stérilet) inversé avec la présenec d'une grossesse intra-utérine évolutive de 6 SA en relation avec l'échec de cette méthode de contraception DIU (stérilet) inversé avec la présenec d'une grossesse intra-utérine évolutive de 6 SA en relation avec l'échec de cette méthode de contraception
Grossesse de 12 SA sous DIU au cuivre Grossesse de 12 SA sous DIU au cuivre Grossesse de 12 SA sous DIU au cuivre
Utérus malformé cloisonné  et porteur d'un stérilet Utérus malformé cloisonné  et porteur d'un stérilet Utérus malformé cloisonné  et porteur d'un stérilet
Stérilet extra-utérin abdominal Stérilet extra-utérin abdominal Stérilet extra-utérin abdominal
Dispositif contraceptif définitif intra-tubaire - Aspects échographiques Dispositif contraceptif définitif intra-tubaire - Aspects échographiques Dispositif contraceptif définitif intra-tubaire - Aspects échographiques
Ovaire dystrophique micropolykystique : caractéristiques échographiques Ovaire dystrophique micropolykystique : caractéristiques échographiques Ovaire dystrophique micropolykystique : caractéristiques échographiques
Adhérences péri-ovarienne droites - infertilité Adhérences péri-ovarienne droites - infertilité Adhérences péri-ovarienne droites - infertilité
Kystes ovariens fonctionnels : les fifférents aspects de l'hémorragie intra-kystique Kystes ovariens fonctionnels : les fifférents aspects de l'hémorragie intra-kystique Kystes ovariens fonctionnels : les fifférents aspects de l'hémorragie intra-kystique
Kyste fonctionnel de l'ovaire gauche : régression spontanée confirmée par contrôle échographique trois mois plus tard Kyste fonctionnel de l'ovaire gauche : régression spontanée confirmée par contrôle échographique trois mois plus tard Kyste fonctionnel de l'ovaire gauche : régression spontanée confirmée par contrôle échographique trois mois plus tard
Ovaires : tératomes matures bénins ou kystes dermoïdes - Images cliniques -autodiaporama Ovaires : tératomes matures bénins ou kystes dermoïdes - Images cliniques -autodiaporama Ovaires : tératomes matures bénins ou kystes dermoïdes - Images cliniques -autodiaporama
Tumeur stromale sclérosante de l'ovaire gauche Tumeur stromale sclérosante de l'ovaire gauche Tumeur stromale sclérosante de l'ovaire gauche
Kyste mucineux bénin de l'ovaire gauche de 3,3 litres de volume Kyste mucineux bénin de l'ovaire gauche de 3,3 litres de volume Kyste mucineux bénin de l'ovaire gauche de 3,3 litres de volume
Cystadénome séreux borderline ovarien bilatéral Cystadénome séreux borderline ovarien bilatéral Cystadénome séreux borderline ovarien bilatéral
Cystadénome séro-mucineux borderline de l'ovaire droit (végétations endophytiques) Cystadénome séro-mucineux borderline de l'ovaire droit (végétations endophytiques) Cystadénome séro-mucineux borderline de l'ovaire droit (végétations endophytiques)
Diarrhée Diarrhée Diarrhée
Kyste de l'ouraque - Aspect échographique et coelioscopique - كيسة العصيب والأشكال المرضية لقناة العُصَيْب Kyste de l'ouraque - Aspect échographique et coelioscopique - كيسة العصيب والأشكال المرضية لقناة العُصَيْب Kyste de l'ouraque - Aspect échographique et coelioscopique - كيسة العصيب والأشكال المرضية لقناة العُصَيْب
Appendicite folliculaire lympoïde Appendicite folliculaire lympoïde Appendicite folliculaire lympoïde



     
Paris nocturne : vue sur la Seine montrant le Pont Alexandre III et la Tour Eiffel avec son phare - vidéo filmé du Pont de la Concorde Paris nocturne : vue sur la Seine montrant le Pont Alexandre III et la Tour Eiffel avec son phare - vidéo filmé du Pont de la Concorde Paris nocturne : vue sur la Seine montrant le Pont Alexandre III et la Tour Eiffel avec son phare - vidéo filmé du Pont de la Concorde
Tour Eiffel tricolore : bleu - blanc - rouge, les couleur du drapeau de la France Tour Eiffel tricolore : bleu - blanc - rouge, les couleur du drapeau de la France Tour Eiffel tricolore : bleu - blanc - rouge, les couleur du drapeau de la France
Tour Eiffel tricolore : bleu - blanc - rouge, les couleur du drapeau de la France Tour Eiffel tricolore : bleu - blanc - rouge, les couleur du drapeau de la France Tour Eiffel tricolore : bleu - blanc - rouge, les couleur du drapeau de la France
Paris - Tour Eiffel en kaléidoscopie - 01 Paris - Tour Eiffel en kaléidoscopie - 01 Paris - Tour Eiffel en kaléidoscopie - 01
Paris - Tour Eiffel en kaléidoscopie - 02 Paris - Tour Eiffel en kaléidoscopie - 02 Paris - Tour Eiffel en kaléidoscopie - 02
Paris : vue sur la Seine montrant le Pont d'Austerlitz - Crue de la Seine le 03 juin 2016 Paris : vue sur la Seine montrant le Pont d'Austerlitz - Crue de la Seine le 03 juin 2016 Paris : vue sur la Seine montrant le Pont d'Austerlitz - Crue de la Seine le 03 juin 2016
Paris : Du pont de Bercy - Crue de la Seine le 03 juin 2016 Paris : Du pont de Bercy - Crue de la Seine le 03 juin 2016 Paris : Du pont de Bercy - Crue de la Seine le 03 juin 2016
Paris : Crue de la Seine le 03 juin 2016 - Objets et matériaux flottants Paris : Crue de la Seine le 03 juin 2016 - Objets et matériaux flottants Paris : Crue de la Seine le 03 juin 2016 - Objets et matériaux flottants
Vichey - Allier - Médiation Vichey - Allier - Médiation Vichey - Allier - Médiation
Eclairs au ciel de Paris - 08 juin 2014 Eclairs au ciel de Paris - 08 juin 2014 Eclairs au ciel de Paris - 08 juin 2014
Paris-13062021-22h13 Paris-13062021-22h13 Paris-13062021-22h13
Paris nocturne - Notre-Dame de Paris - autodiaporama de 13 images Paris nocturne - Notre-Dame de Paris - autodiaporama de 13 images Paris nocturne - Notre-Dame de Paris - autodiaporama de 13 images
Paris - La Cathédrale de Notre Dame - La sonnerie des cloches Paris - La Cathédrale de Notre Dame - La sonnerie des cloches Paris - La Cathédrale de Notre Dame - La sonnerie des cloches
Paris - La Cathédrale de Notre Dame - La sonnerie des cloches Paris - La Cathédrale de Notre Dame - La sonnerie des cloches Paris - La Cathédrale de Notre Dame - La sonnerie des cloches
Noria 2016 - Hommage à Hama, la ville des Norias - ناعورة عام 2016 - تكريم لحماة، مدينة النواعير Noria 2016 - Hommage à Hama, la ville des Norias - ناعورة عام 2016 - تكريم لحماة، مدينة النواعير Noria 2016 - Hommage à Hama, la ville des Norias - ناعورة عام 2016 - تكريم لحماة، مدينة النواعير
Noria 2016 - Hommage à Hama, la ville des Norias - ناعورة عام 2016 - تكريم لحماة، مدينة النواعير Noria 2016 - Hommage à Hama, la ville des Norias - ناعورة عام 2016 - تكريم لحماة، مدينة النواعير Noria 2016 - Hommage à Hama, la ville des Norias - ناعورة عام 2016 - تكريم لحماة، مدينة النواعير
Les lèvres  et le Monde des couleurs - vidéo format MP4 - الشفاه وعالم الألوان Les lèvres  et le Monde des couleurs - vidéo format MP4 - الشفاه وعالم الألوان Les lèvres  et le Monde des couleurs - vidéo format MP4 - الشفاه وعالم الألوان
Dessins d'enfants âgés de 3 à 4 ans Dessins d'enfants âgés de 3 à 4 ans Dessins d'enfants âgés de 3 à 4 ans
Dessins d'enfants âgés de 4 à 5 ans Dessins d'enfants âgés de 4 à 5 ans Dessins d'enfants âgés de 4 à 5 ans
Aphrodite - Vénus de Milo - Musée du Lovre - Paris - France Aphrodite - Vénus de Milo - Musée du Lovre - Paris - France Aphrodite - Vénus de Milo - Musée du Lovre - Paris - France
Vénus Capitoline - Musée du Capitole - Rome - Italie Vénus Capitoline - Musée du Capitole - Rome - Italie Vénus Capitoline - Musée du Capitole - Rome - Italie
Joies de la famille - H. DAILLION - Jardin de Luxembourg - Paris - France Joies de la famille - H. DAILLION - Jardin de Luxembourg - Paris - France Joies de la famille - H. DAILLION - Jardin de Luxembourg - Paris - France
Mascarons du Pont Neuf - Paris - France - 76 images Mascarons du Pont Neuf - Paris - France - 76 images Mascarons du Pont Neuf - Paris - France - 76 images
Paris - Cour du Havre devant la gare St-Lazare - L'heure de tous - Oeuvre d'Arman (1985) - accumulation d'horloges en bronze Paris - Cour de Rome devant la gare St-Lazare - Consigne à vie - Oeuvre d'Arman (1985) - accumulation de bagages en bronze Paris - Cour du Havre devant la gare St-Lazare - L'heure de tous - Oeuvre d'Arman (1985) - accumulation d'horloges en bronze
Cheval à la herse - Musée d'Orsay - Paris - France Cheval à la herse - Musée d'Orsay - Paris - France Cheval à la herse - Musée d'Orsay - Paris - France
Fontaine de l'Hydrorrhage - Paris Fontaine de l'Hydrorrhage - Paris Fontaine de l'Hydrorrhage - Paris
Hommage à Dr Issam ABD AL-SAMAD Hommage à Dr Issam ABD AL-SAMAD Hommage à Dr Issam ABD AL-SAMAD
Le triomphe de la Mort - Oeuvre de THOMAS Gabriel - Faculté de Médecie - Paris VI - France Le triomphe de la Mort - Oeuvre de THOMAS Gabriel - Faculté de Médecie - Paris VI - France Le triomphe de la Mort - Oeuvre de THOMAS Gabriel - Faculté de Médecie - Paris VI - France
Derviche tourneur syrien Derviche tourneur syrien Derviche tourneur syrien
Art africain - Yka - Congo - Maternité Art africain - Yka - Congo - Maternité Art africain - Yka - Congo - Maternité
Art africain ; Mali ; Jennée - Le penseur Art africain ; Mali ; Jennée - Le penseur Art africain ; Mali ; Jennée - Le penseur
Art africain - Djennée - Mali  - Homme barbu à corps d'une femme enceinte Art africain - Djennée - Mali  - Homme barbu à corps d'une femme enceinte Art africain - Djennée - Mali  - Homme barbu à corps d'une femme enceinte
Scène d'accouchement traditionnel en Afrique Scène d'accouchement traditionnel en Afrique Scène d'accouchement traditionnel en Afrique
Nkisi nkondi ou fétiches aux clous et lames métallliques Nkisi nkondi ou fétiches aux clous et lames métallliques Nkisi nkondi ou fétiches aux clous et lames métallliques
Art africain - Masques Punu (les Pounous - Gabon - Congo Art africain - Masques Punu (les Pounous - Gabon - Congo Art africain - Masques Punu (les Pounous - Gabon - Congo
Dogon - Mali - Portes et volets de fenêtres de greniers Dogon - Mali - Portes et volets de fenêtres de greniers Dogon - Mali - Portes et volets de fenêtres de greniers
Fado - chant nostalgique du Portugal Fado - chant nostalgique du Portugal Fado - chant nostalgique du Portugal
Masques vénitiens - Autodiaporama de 215 images Masques vénitiens - Autodiaporama de 215 images Masques vénitiens - Autodiaporama de 215 images
Manneken-Pis de Bruxelles Manneken-Pis de Bruxelles Manneken-Pis de Bruxelles
Mon corps ou cénesthésie - Oeuvres de Marion Bailly-Salin, artiste Mon corps ou cénesthésie - Oeuvres de Marion Bailly-Salin, artiste Mon corps ou cénesthésie - Oeuvres de Marion Bailly-Salin, artiste
Galinsoga quadriradiata : description et comparaison avec la galinsoga parviflora Galinsoga quadriradiata : description et comparaison avec la galinsoga parviflora Galinsoga quadriradiata : description et comparaison avec la galinsoga parviflora
Helleborus nigercors Helleborus nigercors Helleborus nigercors
Helleborus niger (Rose de Noël - Rose d'hiver) Helleborus niger (Rose de Noël - Rose d'hiver) Helleborus niger (Rose de Noël - Rose d'hiver)
Helleborus lividus (Hellébore de Cors) Helleborus lividus (Hellébore de Cors) Helleborus lividus (Hellébore de Cors)
Helleborus foetidus - Hellébore fétide - خَرْبَق عَفِن Helleborus foetidus - Hellébore fétide - خَرْبَق عَفِن Helleborus foetidus - Hellébore fétide - خَرْبَق عَفِن
Helleborus orientalis (Hellébore oriental Helleborus orientalis (Hellébore oriental Helleborus orientalis (Hellébore oriental
Anémone pulsatille Anémone pulsatille Anémone pulsatille
Anémone pulsatille Anémone pulsatille Anémone pulsatille
Tricyrtis formosana (Lis crapaud) Tricyrtis formosana (Lis crapaud) Tricyrtis formosana (Lis crapaud)
Erodium trifolium Erodium trifolium Erodium trifolium
Croix-de-Jérusalem Croix-de-Jérusalem Croix-de-Jérusalem
La Croix-Rouge La Croix-Rouge La Croix-Rouge
Violette des bois Violette des bois Violette des bois
Violette odorante Violette odorante Violette odorante
Violette à feuille de Lierre Violette à feuille de Lierre Violette à feuille de Lierre
Clarkia concinna Clarkia concinna Clarkia concinna
Pissenlit (Taraxacum officinale) Pissenlit (Taraxacum officinale) Pissenlit (Taraxacum officinale)
Chicorée sauvage (Cichorium intybus Chicorée sauvage (Cichorium intybus Chicorée sauvage (Cichorium intybus
Coquelicot (grand-coquelicot) ou Papaver rhoeas Coquelicot (grand-coquelicot) ou Papaver rhoeas Coquelicot (grand-coquelicot) ou Papaver rhoeas
Grand-coquelicot - Papaver rhoeas - variétés syriennes Grand-coquelicot - Papaver rhoeas - variétés syriennes Grand-coquelicot - Papaver rhoeas - variétés syriennes
Papver somniferum - Pavot somnifère - Pavot à opium - Description de la vie de la plante Papver somniferum - Pavot somnifère - Pavot à opium - Description de la vie de la plante Papver somniferum - Pavot somnifère - Pavot à opium - Description de la vie de la plante
Belle-de-jour - convlvulus tricolor) Belle-de-jour - convlvulus tricolor) Belle-de-jour - convlvulus tricolor)
Suzanne aux yeux noirs - Oeil de Suzanne Suzanne aux yeux noirs - Oeil de Suzanne Suzanne aux yeux noirs - Oeil de Suzanne
Lindheimera-texana - Famille des Asteraceae Lindheimera-texana - Famille des Asteraceae Lindheimera-texana - Famille des Asteraceae
Schizostylis coccinea - Hesperantha coccinea - Famille des Iridaceae Schizostylis coccinea - Hesperantha coccinea - Famille des Iridaceae Schizostylis coccinea - Hesperantha coccinea - Famille des Iridaceae
Crocus - Safran - de la famille des Iridaceae Crocus - Safran - de la famille des Iridaceae Crocus - Safran - de la famille des Iridaceae
Safran - Crocus sativus Safran - Crocus sativus Safran - Crocus sativus
Monnaie-du-papae - Fleurs mauves Monnaie-du-papae - Fleurs mauves Monnaie-du-papae - Fleurs mauves
Monnaie-du-pape - Fleurs blanches Monnaie-du-pape - Fleurs blanches Monnaie-du-pape - Fleurs blanches
Monnaie-du-pape - Graines Monnaie-du-pape - Graines Monnaie-du-pape - Graines
Némophile maculée - Nemophila maculata - de la famille des Boraginacées Némophile maculée - Nemophila maculata - de la famille des Boraginacées Némophile maculée - Nemophila maculata - de la famille des Boraginacées
Grand-mélinet - Cerinthe major - Fleur de cire - de la famille des Boraginacées Grand-mélinet - Cerinthe major - Fleur de cire - de la famille des Boraginacées Grand-mélinet - Cerinthe major - Fleur de cire - de la famille des Boraginacées
Hacquetia epipactis (Dondia) Hacquetia epipactis (Dondia) Hacquetia epipactis (Dondia)
Nivéole d'été - Leucojum aestivum - de la famille des Amaryllidaceae Nivéole d'été - Leucojum aestivum - de la famille des Amaryllidaceae Nivéole d'été - Leucojum aestivum - de la famille des Amaryllidaceae
Joubarbe (Barbe de Jupiter) - Sempervivum (Toujours vivante) - plantes de la famille des Crassulaceae Joubarbe (Barbe de Jupiter) - Sempervivum (Toujours vivante) - plantes de la famille des Crassulaceae Joubarbe (Barbe de Jupiter) - Sempervivum (Toujours vivante) - plantes de la famille des Crassulaceae
Limnanthes douglasii - Plante-aux-oeufs-pochés - Fleur des marais Limnanthes douglasii - Plante-aux-oeufs-pochés - Fleur des marais Limnanthes douglasii - Plante-aux-oeufs-pochés - Fleur des marais
Zinnia peruviana - des la familles des Asteraceae Zinnia peruviana - des la familles des Asteraceae Zinnia peruviana - des la familles des Asteraceae
Passiflore bleue - Passiflora caerulea Passiflore bleue - Passiflora caerulea Passiflore bleue - Passiflora caerulea
Passiflore violacée - Passiflora violacea - Victoria Passiflore violacée - Passiflora violacea - Victoria Passiflore violacée - Passiflora violacea - Victoria
Catharantus roseus - Vinca rosa, Pervinca rosa - Pervenche de Madagascar, Pervenche tropicale Catharantus roseus - Vinca rosa, Pervinca rosa - Pervenche de Madagascar, Pervenche tropicale Catharantus roseus - Vinca rosa, Pervinca rosa - Pervenche de Madagascar, Pervenche tropicale
Laurier-rose - description - propriétés - rotation Laurier-rose - description - propriétés - rotation Laurier-rose - description - propriétés - rotation
Euphorbia milii - Couronne du Christ Euphorbia milii - Couronne du Christ Euphorbia milii - Couronne du Christ
Gerbera - Plante aux beaux capitules restant épanouis durant plusieurs semaines Gerbera - Plante aux beaux capitules restant épanouis durant plusieurs semaines Gerbera - Plante aux beaux capitules restant épanouis durant plusieurs semaines
Bourrache officinale Bourrache officinale Bourrache officinale
Chêne-liège de Portugal Chêne-liège de Portugal Chêne-liège de Portugal
Chêne-liège de Portugal -Coupe transverse du tronc de l'arbre Chêne-liège de Portugal -Coupe transverse du tronc de l'arbre Chêne-liège de Portugal -Coupe transverse du tronc de l'arbre
Blob - Physarum polycephalum Blob - Physarum polycephalum Blob - Physarum polycephalum
Calopsitte élégante ou callopsitte d'Australie - casting de 70 images Calopsitte élégante ou callopsitte d'Australie - casting de 70 images Calopsitte élégante ou callopsitte d'Australie - casting de 70 images
jhkhjhj jhkhjhj jhkhjhj
Kaléidoscopie inspirée des couleurs et des textures du Calopsitte Kaléidoscopie inspirée des couleurs et des textures du Calopsitte Kaléidoscopie inspirée des couleurs et des textures du Calopsitte
Calopsitte australien - Mère nourrisant son oisillion âgé de 3 jours Calopsitte australien - Mère nourrisant son oisillion âgé de 3 jours Calopsitte australien - Mère nourrisant son oisillion âgé de 3 jours
Callopsite australien - D&veloppement d'un oisillon de J00 à J31 Callopsite australien - D&veloppement d'un oisillon de J00 à J31 Callopsite australien - D&veloppement d'un oisillon de J00 à J31
Le chant d'un callopsitte Le chant d'un callopsitte Le chant d'un callopsitte
Perruche à collier à Paris Perruche à collier à Paris Perruche à collier à Paris
Le lac des cignes -Iseo - Italie du Nord Cygnes blancs - Paris Le lac des cignes -Iseo - Italie du Nord
Corneille noires de Paris Corneille noires de Paris Corneille noires de Paris
Grands corbeaux de la tour de Londres - Cris Grands corbeaux du Japon - Cris Grands corbeaux de la tour de Londres - Cris
Merle noir femelle se nourrisant en déterrant les vers de terre Merle noir femelle se nourrisant en déterrant les vers de terre Merle noir femelle se nourrisant en déterrant les vers de terre
Etourneau sansonnet - Sturnus vulgaris Etourneau sansonnet - Sturnus vulgaris Etourneau sansonnet - Sturnus vulgaris
Mainate (myna) - Gracula religiosa Mainate (myna) - Gracula religiosa Mainate (myna) - Gracula religiosa
Mésange bleue Mésange bleue Mésange bleue
Mésange charbonnière - Chant du printemps Mésange charbonnière Mésange charbonnière
Abeille se nourrissant sur une fleur de tournesol Abeille se nourrissant sur une fleur de tournesol Abeille se nourrissant sur une fleur de tournesol
Bourdon se nourrisant sur une fleur de tournesol Bourdon se nourrisant sur une fleur de tournesol Bourdon se nourrisant sur une fleur de tournesol
الألف متاهة الألف متاهة الألف متاهة
Ruche d'abeilles Ruche d'abeilles Ruche d'abeilles
Frelon asiatique combattant une guêpe commune Frelon asiatique combattant une guêpe commune Frelon asiatique combattant une guêpe commune
Fourmis déplaçant des grains de plantes vers leur colonie Fourmis déplaçant des grains de plantes vers leur colonie Fourmis déplaçant des grains de plantes vers leur colonie
Armée de fourmis attaquant un scarabée -  جيشٌ من النمل يهاجم جُعْلاً (جُعْراناً) Armée de fourmis attaquant un scarabée -  جيشٌ من النمل يهاجم جُعْلاً (جُعْراناً) Armée de fourmis attaquant un scarabée -  جيشٌ من النمل يهاجم جُعْلاً (جُعْراناً)
Robert-le-Diagle ; Gamma ; Polygonia c-album ; c-blanc - Vanesse gamma Robert-le-Diagle ; Gamma ; Polygonia c-album ; c-blanc - Vanesse gamma Robert-le-Diagle ; Gamma ; Polygonia c-album ; c-blanc - Vanesse gamma
Termites en colonie Termites en colonie Termites en colonie
Chenille - Déplacement linéaire Chenille - Déplacement linéaire Chenille - Déplacement linéaire
Discorde musclée entre chatte et chat - خلاف عدواني ما بين قطة وقط Discorde musclée entre chatte et chat - خلاف عدواني ما بين قطة وقط Discorde musclée entre chatte et chat - خلاف عدواني ما بين قطة وقط
Chatte allaitant ses trois chatons Chatte allaitant ses trois chatons Chatte allaitant ses trois chatons
Truie allaitant ses trois porcelets Truie allaitant ses trois porcelets Truie allaitant ses trois porcelets
Chien prenant un bain de sable Chien prenant un bain de sable Chien prenant un bain de sable
Orang-outan se distrait en jounat avec des fils Orang-outan se distrait en jounat avec des fils Orang-outan se distrait en jounat avec des fils
La mer blanche, le cimetière des temps modernes La mer blanche, le cimetière des temps modernes La mer blanche, le cimetière des temps modernes
La mer blanche méditerranéenne , le plus grand cimetière de l'histoire La mer blanche méditerranéenne , le plus grand cimetière de l'histoire La mer blanche méditerranéenne , le plus grand cimetière de l'histoire
Un petit crabe utilisant un coquillage comme un moyen de protection lors de ses déplacements -  سَلْطَعون صغير يستعمل صدفة أحد الرخويات للإحتماء داخلها في تنقلاته Un petit crabe utilisant un coquillage comme un moyen de protection lors de ses déplacements -  سَلْطَعون صغير يستعمل صدفة أحد الرخويات للإحتماء داخلها في تنقلاته Un petit crabe utilisant un coquillage comme un moyen de protection lors de ses déplacements -  سَلْطَعون صغير يستعمل صدفة أحد الرخويات للإحتماء داخلها في تنقلاته
Un petit crabe utilisant un coquillage comme un moyen de protection lors de ses déplacements -  سَلْطَعون صغير يستعمل صدفة أحد الرخويات للإحتماء داخلها في تنقلاته Un petit crabe utilisant un coquillage comme un moyen de protection lors de ses déplacements -  سَلْطَعون صغير يستعمل صدفة أحد الرخويات للإحتماء داخلها في تنقلاته Un petit crabe utilisant un coquillage comme un moyen de protection lors de ses déplacements -  سَلْطَعون صغير يستعمل صدفة أحد الرخويات للإحتماء داخلها في تنقلاته
Khiva en autodiaporam de 50 peintures - Ouzbékistan Khiva en autodiaporam de 50 peintures - Ouzbékistan Khiva en autodiaporam de 50 peintures - Ouzbékistan
Tachkent - Ouzbékistan - Jardin paradisiaque Tachkent - Ouzbékistan - Jardin paradisiaque Tachkent - Ouzbékistan - Jardin paradisiaque
Tapis volant, magique et virtuel Tapis volant, magique et virtuel Tapis volant, magique et virtuel
Le temps qui passe - Balancier d'une montre en mouvement perpituel Le temps qui passe - Balancier d'une montre en mouvement perpituel Le temps qui passe - Balancier d'une montre en mouvement perpituel

Musée virtuel
Photographie

Contact : Dr Aly Abbara
 

Site du Dr Aly Abbara
aly-abbara.com